Lesiones Blancas y Rojas

¿Te preocupa que encontraste algo anormal en tu boca?

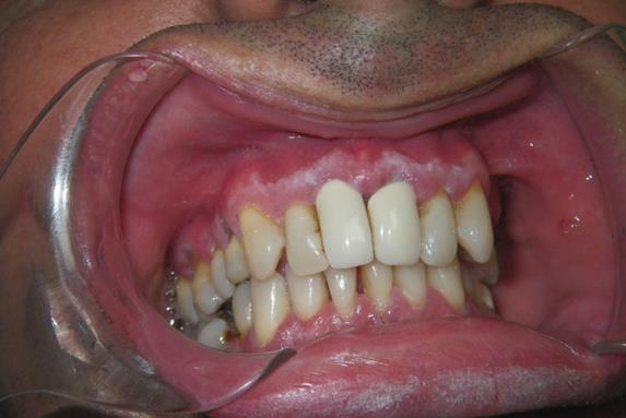
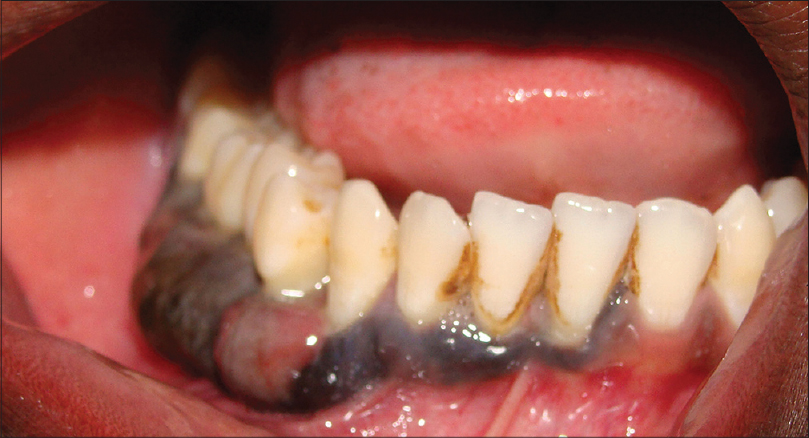
Si encontraste una anomalía en tus encías, paladar, dientes o labios, es necesario acudir a examinarte la lesión, evitando que esta se desarrolle y avance a más complicaciones en el futuro. La principal razón de las alteraciones de la encía son las bacterias, pero hay que saber que existen lesiones que son la manifestación de problemas que se pueden detectar cuando están iniciando y que se relacionan con enfermedades dermatológicas, con las hormonas, medicamentos, virus, hongos, discrasias sanguíneas, alteraciones oncológicas o, genéticas.

Estas patologías se pueden manifestar como lesiones blancas, lesiones rojas, ulceraciones o, tumoraciones. 

Aquí en Perioclinik, los especialistas tendremos que diagnosticar el tipo de anomalía bucal, mediante las técnicas de diagnóstico necesarias y te daremos solución con un tratamiento adecuado a tus necesidades. 
¿Necesitas más información? ¡Pregúntanos!


Ojo: Es importante estar revisando los tejidos de la boca en nuestra casa frecuentemente, así como acudir a las citas cada 6 meses con el periodoncista para detectar oportunamente cualquier patología que aparezca.
www.perioclinik.com(c)2019, All Rights Reserved