Encías (+/-)



¡No me gusta mi sonrisa! Muestro mucha encía. 

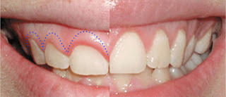
1.Erupción pasiva alterada: Tu problema pude ser por tener unos dientes de tamaño normal pero cubiertos por mucha encía. Tus dientes no se han descubierto completamente y se ven más pequeños, eso no favorece a tu sonrisa.

2. Un labio hipermovil, es una hiperfunción de los músculos elevadores del labio que puede causar que enseñes mucha encía al sonreír.
La “sonrisa ideal” muestra al labio superior por encima de los dientes superiores, mostrando muy poco o nada de encía. 

3. Crecimiento vertical del maxilar superior en exceso: es un problema esquelético que deja ver mucha encía al sonreír, pero esto no es debido al labio sino, a un exceso de hueso. Puede ser tratado con distintos procedimientos, por ello es necesario acudir a un especialista para que determine tu diagnóstico En PerioClinik decidimos el mejor tratamiento para lograr esa sonrisa ideal que siempre has deseado.
Antes del tratamiento se muestra más encía al sonreir con espontaneidad.
Después del tratamiento, la sonrisa ya no muestra encía de más y se conserva la naturalidad.
OJO: Tenemos muchas opciones de tratamiento, tu diagnóstico nos indicará el procedimiento a seguir.  
¿Necesitas más información? ¡Pregúntanos!
www.perioclinik.com(c)2019, All Rights Reserved